🦷 Fallbeispiel: Wiederherstellung der Bisslage und Totalsanierung.
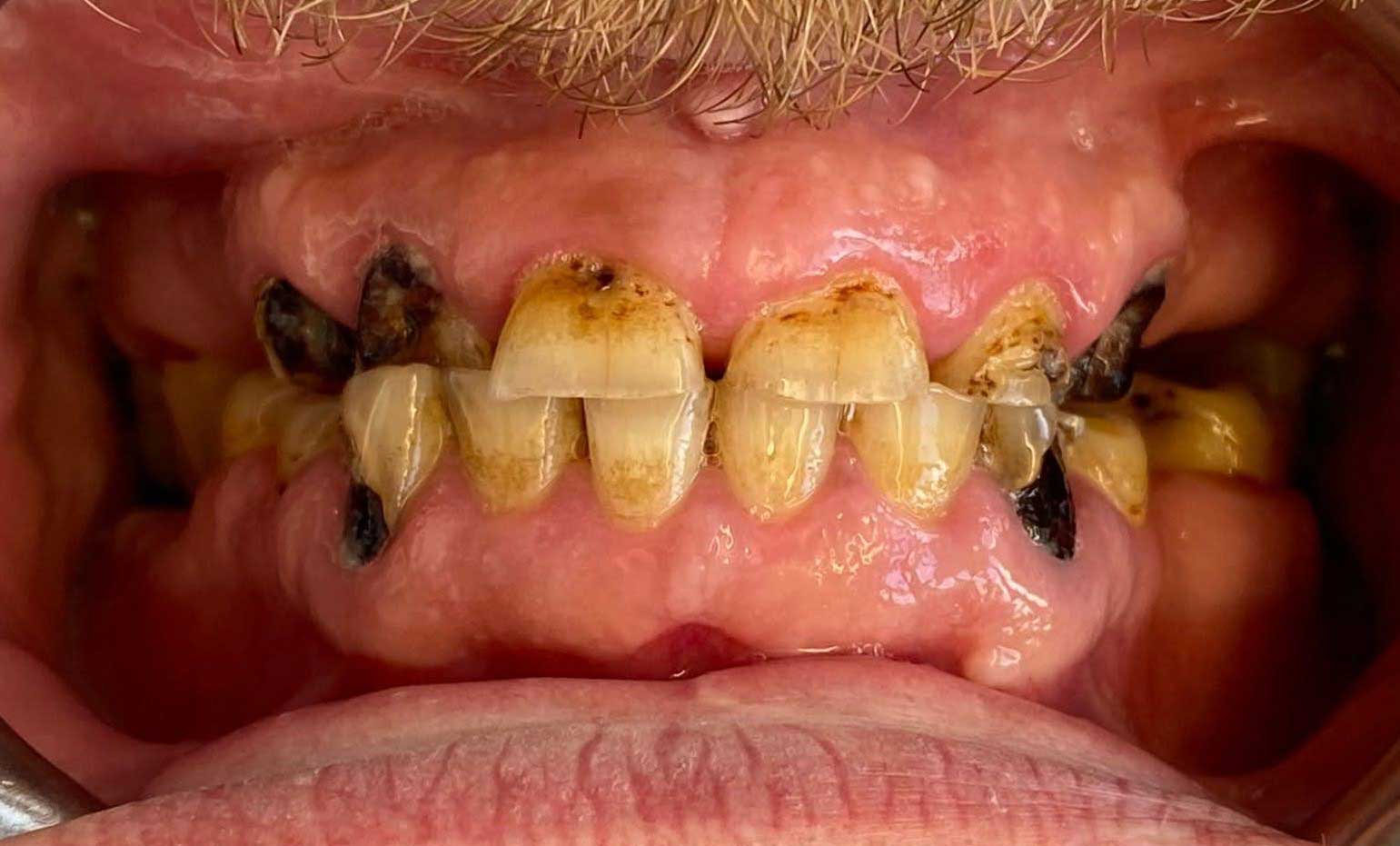
❌ Vorher – Funktionale und ästhetische Einschränkungen
- Schlechte Mundhygiene
- Multiple kariöse Läsionen
- Mehrere größere Zahnlücken
- Niedrige Bisslage durch Knirschen (Bruxismus)
- Abradierte Zahnoberflächen
Behandlungsplanung
Nach eingehender Diagnostik und einer umfassenden Anamnese entschieden wir uns gemeinsam mit dem Patienten für eine implantatgetragene Versorgung.
- Entfernung von Wurzelresten
- Wiederherstellung der Bisslage
- Implantation
- Versorgung mit Kronen und Brücken
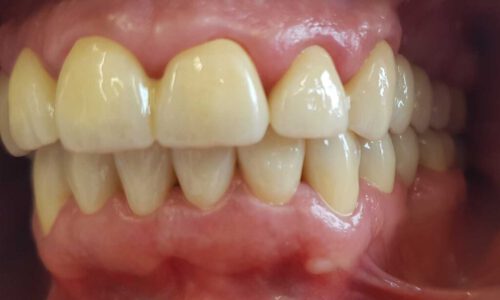
✅ Nachher – Stabilität, Komfort und ein natürliches Lächeln
Nach der erfolgreichen Implantation und einer kurzen Einheilzeit wurden individuell angefertigte Kronen eingesetzt, die sowohl funktional als auch ästhetisch höchsten Ansprüchen genügen.
Das Behandlungsergebnis überzeugt nicht nur funktional, sondern auch ästhetisch.

Vergleich vorher/nachher
Ziehen Sie am Slider, um das Ergebnis zu vergleichen
💬 Kommentar von Dr. Kim:
„Gerade bei Patienten mit schleichendem Zahnverlust sehen wir häufig eine schrittweise Einschränkung der Lebensqualität, die sie selbst lange unterschätzen. Implantate bieten hier eine nachhaltige Lösung – funktional, ästhetisch und langfristig stabil.“
Termin vereinbaren
Nutzen Sie die Vorteile modernster 3D-Diagnostik für Ihre zahnmedizinische Behandlung. Vereinbaren Sie einen Termin in der Praxis von Dr. Kim in Bad Homburg, um mehr über die Möglichkeiten der digitalen Volumentomographie zu erfahren und den Grundstein für eine erfolgreiche Behandlung zu legen.
Das sagen unsere Patienten
Sie sehen gerade einen Platzhalterinhalt von Standard. Um auf den eigentlichen Inhalt zuzugreifen, klicken Sie auf den Button unten. Bitte beachten Sie, dass dabei Daten an Drittanbieter weitergegeben werden.
Weitere Informationen


![1401_5a[63] 1401_5a[63]](https://zahnarzt-dk.de/wp-content/uploads/2025/07/1401_5a63-1024x635-500x300.jpg)
